
Net all Jiddereen weess d'Arthroonison net tëscht D'Liberhoden a Verseegessen ass net d 'Princitéit vun de Pathologie komm. Arthrosis ass eng schwéier dystrophesch Violatioun déi d'Lesion vu Knorpelebunnen an der intraderescher Kavitéit provozéiert. D'Kraaft vun de Streng ass verbonne mat dem üre praktesche Prozesser, eng komplette Klass, eng komplette Class fir d'Spuren, awer d'Himmelsdauer kann méi lues ze goen. Mat der richteger Behandlung, eng Persoun geet direkt den normalen Liewensstil fir eng laang Zäit.
Wat ass Arthrosis?
Ähnlech ass et méi einfach, datt fir d'Krankheet Arthrose eng Krankheet vun de Gelenker vun der Grenz vun der Bewegung pro Bewegung pro Bewerber benotzt, an Péng. Um éischten Deel vu Schied ginn et keng Manifestatiounen, hu däi Schäereg a gewéinlech an no gekuckt. De Striffer huet gradlech, Pathology ergresséiert, dëst ass fir den Alter vun den al wéi-voller Päneter, déi och 8% vun der Bevëlkerung reschidéiert ass.
An och d'Hahfrois vum GestH entwéckelt sech laang entwéckelt, ËCHzäiten beschreift nëmmen den Hänn fir d'Strécke, ëmkreesen, Muskeren an de Musekt un der Synss. Op der éischter oder fréier Etapp vum Arthrosis, d'Läsioun ass liicht manifestéiert: kleng Péng no haarder Aarbecht, Schwänz vun der Haut. Wéinst ignoréiert onbequem Sensatiounen, de Gelenk ass deforméiert, entzéist, schwéier Péng, hiert Héichpunkt de Moien. D'Krankheet ass charakteriséiert duerch d'Verschwanne vu Schmerz no der Entwécklung vum Joint. Wann net behandelt gëtt, verléiert eng Persoun d'Mobilitéit vum Gelenk komplett verléiert.

Do ass eng primär an sekundär Form vu Arthrosis. Pseudo-Artshrois (vumerartieris) ass och vill Leit déi ganz Leit weess, well et ass manner anescht wéi aner Viaire esou z'akzeptéieren. Neohartrosis ass e falsche Gelenker, sou knowsend Tissue erhéicht an enger ongewéinlecher Plaz wou Schued kritt. Et ass schwéier ze behandelen, haaptsächlech chirurgesch.
Et gëtt eng Pathologie wéinst Stéierunge vun der regnerativer Funktioun, Immunitéit oder mechanesch Schued. Wéinst verschiddene Ursaache vum Knorpel, gëtt et méi dënn. An enger normaler Zoustand kritt Streck genuch Ersatz fir Erhuelung fir Erhuelung, awer nom exzessiveen kierperlechen Ustrengung oder wéinst enger Verletzung net Zäit ze regeneréieren. An der éischter Staang am Land bleift zu där Grënn. Geduecht huet wéi eng Arthosoden dat als Definitioun ugesinn ass, ass et wäert méi Detailer an der Entwécklung vun der Pathologie ze denken.
De Mechanismus vun der Entwécklung vu Arthrosis, seng Zorten
Vill Varieties vum Arthroskei entwéckelt no engem ähnlechen Schema:
- Déi primär Läsion beaflosst den Hyaline Knorpel. Am Fall vun Terrard iwwerdeet, pathologesch Kraaftschued geschitt. Et ass den éischte Schrëtt oder Ursaach, wat kann arthroosis geschéien.
- Hyalin Coating Pathologien. D'Buedem vum Kuerplang féiert dem Ersatz vu senge placologeschen Tissiste:
- Anomalous Wuesstum erschéngen op Knorpelage - Osteophyten.
- D'Wieler vun der natierlecher Anatomie vum Knorpel a Schanken provozéiert d'Iwwerlaaschtung vu gesonde Beräicher vum Knorpel. D'Zersteierer er archikulär Tofsbletzungen ass dauernd dout zou a féiert zu Behënnerung.
Wann de Grad vun der Krankheet eropgeet, pathologesch Prozesser sinn nach ëmmer verschlechtert. Zum Schluss, all Hyalin Knorpel ass zerstéiert.
Dee leschte Grad vun der Krankheet féiert op:
- Eng Bedéngung am Patronesche Prozess vu Schécken, ënnert der waasserstäich Wieder Surfacen;
- Reimp fir eng gemeinsam holleg, déi biddeer Mobilitéit vun 2 Grad fadéieren;
- erhéicht Kapsel Dicht;
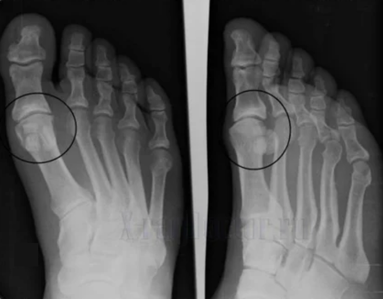
- De Spalt an der Spalt vum Gelenk reduzéieren, wat um Bild entsprécht. D'Bühn vun der Verletzung gëtt vum Diagnostesche Tantogenogolog bestëmmt. De Patient fillt d'Komplexitéit oder Onméiglechkeet fir sech komplett ze rächen an ze béien;
- Gemeinsam Verformung, Kieler, déi eng onregelméissegt Form kritt, propper prokös ze provozéiert ginn;
- Verschlechterung vum Patient vum Patient mat komplette Zerstéierung vu Gelenk.
Zänn vun Arthrosis
Gemeinsame Krankheet huet 3 Stänn vun der Entwécklung:

- 1 Grad. Morphoologesch Gespréicher hu scho ugefaang, awer si sinn nach net bemierkbar. Pathologie beaflosst haaptsächlech den Zoustand vun der synovial Flëssegkeet, wéi eng méi schlëmme liwwert Knorpelen mat Nährstoffkomponenten, reduzéieren d'Stäerkt vum Knorpel. D'Laascht op de Gelenker provokéiert Entzündung a Péng.
- Stage 2. Wéinst der Reserve Mangel, déi néideg Karthelen zerstéiert ginn, boone Wuesstgere ginn op der Uewerfläch vum Knorpabléen geformt. D'Péng déi e méi ausgeschwat Charakter kréien, verstäerkt no engem laange Rescht, gëtt duerch kleng kierperlech Aarbecht eliminéiert. Péng gëtt duerch Entzündung begleet. D'Muskele ginn ausgestrackt, dat heescht sou schlecht oder am Beräich behënnerte Motiveleiungen.
- 3 Grad. Dacks sinn et de Piche, et ass schwéier de Gliedmaart ze réckelen wéinst Ännerungen am Joit. D'Läsionen sinn extensiv, gëtt bemierkenswäert fir déi plakeg ausgesinn. D'Deformatioun vum Joint Site geschitt, déi betraffe Regioun Mëllech a gëtt rout. D'Glied Achs ass gestéiert, déi zu der Komplexitéit vu Bewegung féiert. Pathologesch Ännerunge provozéiert d'Ligaments. Sublucken a Kontrakturen erschéngen. Déi respektiv Muskele sinn verkierzt oder gestreckt, aus där déi kalklech Funktioun schwaach ass.
Ursaachen a Risiko Faktoren fir d'Entwécklung vu Arthrosis
D'Ursaache vun Arthrosis vun de Gelenker ënnersträichen ofhängeg vun der Form vu Pathologie. Domat eng Form vun der Ellbougegelen ze maachen, Knöchel gemeinsamer a schwammenen Arthrossen duer, datt et méiglech ass, e Spezialist am Dokterbelzedessen. Wann de Problem net duerch sichtbare Pathologien gouf, gëtt d'Krankheet primär genannt. Déi sekundär Form vu Violatioun gëtt haaptsächlech diagnostizéiert, kann et verschidde Staaten provozéieren.
D'Haaptgrënn fir Entwécklung:
- Mechanesch Schued: Disloktiounen, Frakturen, Streck, Meniskusiounen;
- Eng Zuel vun den Enartokrine Stéierungen verbonne mat Feelfunktiounen an der Aarbecht vun der Immunitéit;
- Metabolismus Pathologien;
- DyTlasien (kongenital Anomalien vun artikuläre Stoffer);
- gelidden Entzündung vun de Gelenker;
- Pathologien féiert zu héijer Mobilitéit vun de Gelenker a Schwéierpunkt vun de Liggen.
Patienten mat Arthrosis sinn meeschtens eng Krankheet opgetrueden wéinst der Präventiounsfaktoren:
- Alter -eled Ännerungen;
- Liicht Gewiicht an erhéicht BMI. Héich Last op de Joint féiert zu Rapid gemeinsame Droen;
- net genuch gutt Substanzen;
- Exzessiv Last op de Gelenker. De Grond ass intensiven Training, Sport, schwéier kierperlech Aarbecht;
- Schwiereg Aarbechtskonditioune oder eng falsch Approche zum Sport. Wann et eng Geschicht vun enger genetescher Entstanung fir Schued ass, gemeinsam Verletzungen oder ähnlech Krankheeten, et ass wichteg fir e spezielle Trainingsprogramm ze bréngen;
- Déi postoperativ Period vun der Erhuelung oder iwwerdroe komplex Opratiken verbonne mat der Exklisioun vun engem groussen Deel vun engem betraffene Fabrikatiounen. Wéi och d'Staaten negativ beaflossen d'Vue net aus dem Supèl, soll d'Lalptel soll op hinnen magitéieren;
- Genetesch Tendenz, Arthrosis ass méi dacks diagnostizéiert, déi Famill mat der selwechter Pathologie hunn;
- D'Etapp vun der Postmonopaus, geschitt an Fraen fir ongeféier 50 Joer, ass mat Ännerungen am Encocrine System verbonne;
- dat zerstéierend Effekt vun Toxine;
- aarmen Ëmwelt Situatioun an der Regioun wunnt;
- heefeg Schued un der Gelenk, heiansdo sinn d'Mikroskrack net laang net erschéngen;
- hypothermie;
- Pathologie vum Lender a Gebärmutterdeelung vun der Wirbelsäit.
Primär Arthrosis

Primär Arthroes gëtt onofhängeg geformt, dat ass, ouni den Afloss vun all intern oder extern Ursaachen. D'Néierlag entwéckelt sech duerch den Hyalin Knorpel ganz lues. Et gëtt selten diagnostizéiert, et Konten fir nëmmen 3-5% vun alle Fäll.
Sekundär Arthrosis
Secondaire Arthrosis ass meeschtens vun enger Bestellung vun 95-96% vun de Fäll festgestallt. Si provozéiert vun all vun den uewe genannten Pathologien.
Unzeeche a Symptomer vun Arthrosis
D'Manifestatiounen vun der Grenzung vu wi eenst gëtt hänkt jiddwer d'Schëlwer op d'Been stellen, wéinst de Knappheet, wéinst héichlëschte sinn opmierksam.
Meeschtens Reklamatiounen kommen erof op:
- Péng. Si hu niddereg Segely an der neier Bühn, mat Agrra vun de Verdächtegkeet verstuerwenen. Ufanks, d'Hiweiser déi sech nëmmen no erwächen, no enger heller Hierscht, Sensatiounen verschwannen. Am Zäitpunkt, déi d'Unainse erschéngen an Nuecht léisst si fréieren ausstoen an no laang reservéiert, Lafen asw. Op der leschter Bürger verfollegen e Rechtssyntrier.
- limitéiert Amplitude vu Bewegungen. D'Steifheit vun Aktiounen weist anattomesch Ännerungen an der Struktur. E Ufank de Moia selwer, da sinn däitdege Bewegungen limitéiert. Fir d'Basis violplaz vun der Conditioun net ze proviséieren, wat d'Aarbechte vun der Bank d'Aarbecht provies tspruen sinn an Liicht, soss kann de Patient net un net entlooss ginn. Iwwert d'Zäit, et gëtt e Risiko fir ze kontraktéieren, aus där eng Persoun Motorfäegkeet verléiert;
- Kroun wärend Bewegungen - et gehéiert zu der Nonempfänger Manifestatiounen vu Arthosis. Krankheeten ass charge markéiert? Déi eenzeg Gelenefung an enger eenzeger Gelenk (ausser fir Polyhartie), begleet, sech vun engem Onbequemungen, a limitéierten Aktiounen, a limitéierten Aktiounen. D'Natur vun der aktueller ass Wave-ähnlech - am Ufank hunn et sech selwer gesäichen, graduell intensivéiert, awer op 3 Etappen verschwannen;
- Schwellung mat Rötung. Et gëtt lokal no bei der kranker Gelenk lokaliséiert, dëst beweist en entzündleche Prozess an d'Progressioun vun der Krankheet. Den Dokter versteet datt déi synovial Shell betraff ass, dëst provozanzt d'Akkumulatioun vu Flëssegkeet a verstäerkte Péng;
limb Deformatiounen. Erschéngt an enger vernoléisseger Form vun der Krankheet, beweist déi komplett Zerstéierung vum Knorpel an der Erscheinung vun Osteophyten. An dësem Graf ass dann op eng Glidderen op enger Erhéijung vun där Krounung betrëfft, déi de ganze Glibbum beaflosse kann.
Et ass wichteg ze erënneren datt d'Deformatioun vun de Schanken um Been dacks mam Mais duerchernee verwiess ass. D'Symptom ass schlecht geféierlech just um éischte Bléck, awer féiert zu seriöse Konsequenzen.
Komplikatiounen
Ufanks, konservativ Methoden fir d'Behandlung gi fir Behandlung benotzt. Wa se net effikass oder dat Patient ignoréiert den Dokter Empfehlungen ignoréiert ginn, gëtt et e Risiko fir d'Konsequenzen.
Méiglech Komplikatiounen:
- De Gelenk ass komplett zerstéiert;
- De Glibband ass üblech, all Bewegunge ginn extrem schwéier;
- intervertebal Hernias;
- Behënnerung;
- Staark Deformatioun vum Gelenk oder der ganzer Glied.
Diagnos vun Arthrosis
Fir eng Diagnos ze maachen, rheumatologen de Reklamatioune vun der Patient ze studéieren an eng x -rayprüfung virschreiwen. Meeschtens, Radiographie gëtt an 2 Projektiounen benotzt. Den Dokter kuckt op d'Präsenz vu dystrophesche Stéierungen an Hyaline Knorpel an Schanken. Wann de artikuläre Spalt reduzéiert gëtt, sinn deforméiert oder flaach, et sinn zäitscht Formulairen vun der Uewerfläch vum Cargetage, Osteophyten sinn offensichtlech Zeeche vun Arthrossis. Wärend der Inspektioun, Arthrosis weist d'Onstabilitéit vum Gelenk: d'Achs vun de Glieder a Surperuxatioun ass gestéiert.

Dacks ass en x -raybild net fäeg fir komplett Informatioun iwwer d'Konditioun vum Gelenk ze ginn. Fir eng méi grëndlech Etude, berechent d'Zommographie gëtt verschriwwen, et ass effektiv fir d'Schanken ze ënnersichen. Mri ass méi dacks benotzt fir mëll Stoffer ze studéieren.
Wärend der Diagnos, d'Engagement vun anere Spezialisten ass praktizéiert wien hëlleft d'Rot vun der Pathologie ze bestëmmen. Dacks resectert op Konsultatioun vun engem hematolog, Endocrinoolog, Gynekokolog, orthopädesch.
Modern Behandlung
Do si honnerte vu Weeër fir d'Arthroephärmikoriken, awer se all op e puer Romenz vu Methoden:
- Drogenbehandlung. D'Haaptaufgab ass d'Symptomer ze bekämpfen an weider Entwécklung vun enger Verletzung ze vermeiden. Déi meescht dacks, analgetiker gi benotzt fir Schmerz ze entlaaschten, net -Steroidal Anti -inflamatory Drogen fir datt Entzündung, hormonal Drogen an akut an akuten Drogen. All Cours baséiert op der Chondropprotherkterensmatoren déi sech vereinfacht Erstäermung schützen, déi natierlech Substumen benotzt;
- physiotherapie. Verbesserung vun der Effektivitéit vun Drogen, Kämpf mat Entzündung, Relieverleit, beschleunegt d'Regeneratioun beschleeden. Déi meescht benotzt dacks Uelrason, Elektrik, Magnéitik, Laser Therrypie. Dëst enthält och net Päze gefëscht Steiere wéi Rademonnweren.
- Medizinesch kierperlech Ausbildung. Et ass nëtzlech souwuel als Präventioun an erliichtert d'Konditioun. Nodeems déi richteg kierperlech Übungen ass, ass et méiglech de Schmerz ze eliminéieren. Et ass nëtzlech fir de Pool ze besichen, engagéiert a Yoga an dacks goen;
- Handwëtzlechen Thraumie, well d'Mass hëllefen op d'Behandlung vun der Krankheet, wa se an d'Präventioun vu Kräfte bäi ass. Nom Verletzungen, de Handbuch Therapuutéieren kann de Gelenk ofschléissen, verhënnert seng Fixatioun an der falscher Positioun. Nom Massage, Muskel Toun ass verbessert, Bluttkrees gëtt beschleunegt;
- Richteg Ernärung. Eng gesond Ernärung wäert hëllefen de Kierper mat Nährstoffer fir Knorpel ze beräicheren a Kierpergewiicht ze reduzéieren. Eng grouss Mass erhéicht d'Weat vun de Gelenker;
- Sanatorrium-Resort Behuelen wäerten d'Gelenker stäerken. Ville hiert Heelen, Sanotorium an SaldootoT-Kontaporque, pycriotropriestic Décidisito Prozedurberüler.
- Net-tragitional Therapie. Fir d'Behandlung vu Spiller, Hëech, dem Kation--, Ali-- a komm war ee Folklenzreur, wéi och APupskurpuren;
- Chirurgesch Interventioun ass deen eenzege Wee fir zréck an den normalen Liewen an der drëtter Etapp vun der Krankheet. Endoprosthetics erlaabt Iech de Patienteknapper mat der Implantat z'ersetzen. Den eenzegen Uspack vun der Operatioun ass déi héich Käschte. Eng Prozedur ass genuch fir 15-20 Joer.
Präventiv Moossnamen
Sou datt d'Kënschtler vun de Gelenk am alen Alter verstalt dech net an a liicht: Wannen:
- e gesonde Liewensstil erhalen;
- verhënneren staark Lasten;
- observéiert eng Diät;
- ausgeschloss schlecht Gewunnechten;
- Leeschtung Turnnnastik all Dag;
- Verfollegen d'Gewiicht.
Arthrosis ass eng geféierlech Krankheet déi vill méi einfach ass ze verhënneren wéi ze heelen. Mat guerdelt en Dokter ze sichen a verflicht sech mat der Behandlung vun der Behandlung, déi fäeg sinn eng bekannte Lounheet ze halen. De Mangel u Therapie an selbstbestëmmten provozéiert d'Rapid-Verlaf vun der Krankheet, a schliisslech Behënnerung.























